Tumor Otak : Mengenal Gejala Dan Penanganan Kasus Adenoma Hipofise Atau Tumor Hipofisis
Mengenal Gejala Dan Penanganan Kasus Adenoma Hipofise Atau Tumor Hipofisis – Kelenjar pituitari juga disebut sebagai kelenjar pusat hormon karena berfungsi mengontrol produksi kelenjar-kelenjar yang menghasilkan hormon diseluruh tubuh. Diagnosis sebuah tumor pituitari (adenoma hipofise) memerlukan ilmu multidisiplin yang merupakan gabungan para spesialis dengan berbagai latar belakang keilmuan. Ada seorang neuroradiologi, yaitu ahli radiologi yang memiliki sub spesialis dibidang otak, ahli endokrin (hormon), spesialis mata, spesialis saraf dan bedah saraf.
Sekitar 10 % dari tumor di daerah pituirari bukan berasal dari jaringan kelenjar pituirari maka dibutuhkan diagnosis yang tepat dalam terapi tumor pituitari atau tumor hipofisis. Sebagian besar jenis tumor kelenjar pituitari merupakan jenis yang jinak, permasalahannya adalah lokasi tumor pituitari yang terkadang berada pada lokasi-lokasi vital yang sangat dekat dengan pembuluh darah besar otak maupun saraf-saraf utama otak.
Apa saja gejalanya ?

Tumor pada pituitari merupakan jenis kasus yang menantang karena variasi gejalanya yang bermacam-macam. Kasus ini sering kali tidak terdiagnosis bahkan setelah anda berkunjung ke berbagai macam dokter. Ada yang terlebih dahulu berkunjung ke dokter kandungan karena gangguan siklus haid, ada yang ke dokter mata karena gangguan penglihatan, dan ada juga yang berkunjung ke dokter saraf karena nyeri kepala kronik.
Secara umum, penderita tumor pituitary akan datang dengan keluhan sebagai berikut :
- Nyeri kepala berkepanjangan.
- Gejala selanjutnya yang sering muncul pada penderita tumor pituitari adalah gangguan penglihatan. Berdasarkan lokasinya, pertumbuhan tumor akan secara langsung menekan / menjepit saraf penglihatan yang berdampak pada hilangnya lapang pandang bagian samping.
- Masalah ketiga yang sering muncul adalah gangguan keseimbangan hormon, seperti badan terasa lemas dan tidak bertenaga, munculnya gangguan siklus haid, munculnya air susu dari puting payudara, striae / garis-garis seperti orang hamil di perut walaupun sedang tidak dalam kehamilan, gangguan hormon testosteron dan hormon tiroid.
Pemeriksaan apa saja yang harus dilakukan untuk tumor hipofisis?
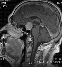
Pemeriksaan dasar yang harus dikerjakaan pertama kali adalah pemeriksaan kandungan hormon pada darah dan pemeriksaan MRI kepala dengan kontras. Selanjutnya bila disertai keluhan pandangan mata kabur dan menyempit pasien akan akan menjalankan pemeriksaan tes lapang pandang mata.
Apa saja pilihan terapinya ?
Terapi sangat tergantung dari gangguan hormon yang terjadi dan ukuran tumor.
Pasien tumor pituitari (adenoma hipofise) dengan gangguan hormon akan menjalani pemeriksaan kadar hormone darah. Yang pertama harus diketahui adalah kondisi nilai hormon prolaktin, apakah terjadi sedikit peningkatan saja (50-150) atau terjadi lonjakan hormon prolaktin (>200).
Peningkatan kadar sekitar 50-150 mungkin disebabkan oleh penekanan batang kelenjar pituitari oleh tumor sehingga perlu dilakukan operasi sedangkan bila kadar hormon prolaktin lebih 200 yang biasanya disebabkan oleh prolaktinoma (tumor pada sel pituitary penghasil hormone prolaktin) dimana terapi terbaik saat ini adalah dengan pemberian obat-obatan dopamin agonist, biasanya tumor akan mengecil hingga 90% disertai perbaikan dari jumlah hormon prolaktin dalam darah.
Jenis tumor kelenajar pituitari yang lain berasal dari kelenjar-kelenjar yang menghasilkan Growth hormon, ACTH (cushing disease) dan TSH. Terapi untuk tiga jenis tumor ini adalah pembedahan akan tetapi bila terjadi gangguan kadar hormon, tim dokter juga akan memberikan terapi hormon bersamaan dengan terapi-terapi lainnya.
Pada pasien yang tidak mengalami permasalahan hormon (non-functioning tumor), dibedakan menjadi dua kelompok, tumor ukuran kecil (mikroadenoma < 1 cm) dan tumor ukuran besar (makroadenoma > 1 cm).
Tumor mikroadenoma non-fungsional (tidak mengalami permsalahan hormon dan ukuran kecil) sering ditemukan secara tidak sengaja pada proses MRI. Pada jenis ini hanya akan dilakukan observasi ketat dengan mri kepala dengan kontras per 3 bulan atau 6 bulan sesuai perkembangan kondisi pasien. Sedangkan untuk ukuran tumor yang besar hingga menyebabkan gangguan penglihatan harus segera dilakukan pembedahan. Teknik bedah dapat berupa bedah mikro atau endoskopi lewat hidung. Prosedurnya sangat tergantung dari bentuk, ukuran serta posisi tumor terhadap struktur vital dalam otak.


Radioterapi serta gamma knife dapat dilakukan pada kasus-kasus tumor dengan ukuran kecil tanpa disertai gangguan penglihatan. Radioterapi dan gamma knife juga dilakukan bila pembedahan tidak maksimal dan meninggalkan beberapa sisa tumor di dekat daerah perlekatan tumor dengan struktur vital.
Semoga bermanfaat.
Salam hormat,

Informasi lebih lanjut dapat anda akses gratis melalui layanan whatsapp yang kami sediakan atau hubungi kami.